Lentes de Contato Dental e Facetas em Santa Felicidade - Curitiba

Você sonha em ter um sorriso alinhado e branco, mas tem dúvidas sobre qual o melhor tratamento? Aqui na OralBraz, nós transformamos sorrisos e recuperamos a autoestima de nossos pacientes com as técnicas mais modernas da odontologia estética.

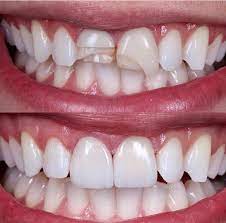
Qual a diferença entre Facetas, Laminados e Lentes de Contato Dental?

Muitos pacientes chegam ao consultório com essa dúvida. Embora ambos os tratamentos melhorem a estética, existem diferenças fundamentais que você precisa conhecer.

Facetas de Porcelana

As facetas dentárias funcionam como “capinhas” de porcelana que cobrem a frente do dente. Geralmente, indicamos as facetas para dentes que possuem muitas restaurações antigas, manchas profundas ou desalinhamentos severos. Como elas são mais espessas (cerca de 0.7mm a 1mm), o Dr. Ricardo realiza um leve desgaste no dente para garantir um encaixe perfeito e natural.

Lentes de Contato Dental

As Lentes de Contato são a evolução da estética. Elas são lâminas ultrafinas (como uma lente de contato ocular) que sobrepomos aos seus dentes naturais. A grande vantagem é que, na maioria dos casos, nós preservamos quase toda a estrutura do seu dente, sem necessidade de desgastes agressivos. Portanto, é um procedimento minimamente invasivo e ideal para quem quer corrigir pequenas imperfeições, fechar espaços (diastemas) ou aumentar o tamanho dos dentes.

Laminados Dentários

Laminados dentários são finas camadas de porcelana ou resina aplicadas sobre os dentes para melhorar a estética do sorriso. Eles são indicados para corrigir imperfeições como manchas, pequenas fraturas, espaçamentos ou desalinhamentos leves.

Por você, sempre o melhor

Dê um upgrade no seu sorriso com tratamentos que transformam!